Agenda tu cita, ahora!
Diseño de Sonrisa
Sonrisa Perfecta
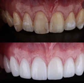
El diseño de sonrisa es un tratamiento de odontología estética que busca mejorar la apariencia de los dientes, encías y labios para lograr una sonrisa armónica, natural y saludable. Mediante un análisis detallado de la forma del rostro, la posición de los dientes, el color dental y la proporción de la sonrisa, el especialista crea un plan personalizado para transformar la estética dental de cada paciente.
Este procedimiento puede incluir diferentes tratamientos como blanqueamiento dental, carillas dentales, contorneado dental, ortodoncia o rehabilitación estética, dependiendo de las necesidades de cada persona. El objetivo es mejorar la forma, color, tamaño y alineación de los dientes, logrando una sonrisa más atractiva y funcional.
Antes de realizar el tratamiento, se hace una valoración odontológica completa, que puede incluir fotografías clínicas, radiografías y en algunos casos diseño digital de sonrisa, lo que permite al paciente visualizar cómo podría verse el resultado final.
Beneficios
- Mejora la estética dental y facial
- Corrige dientes manchados, desgastados o desalineados
- Logra una sonrisa más blanca y armónica
- Aumenta la confianza y seguridad al sonreír
- Resultados personalizados según cada paciente
